Noch bevor ein Tumor entsteht: Stille Entzündung fördert eine der aggressivsten Krebsarten
Beim kleinzelligen Lungenkrebs beginnt die Aggressivität oft vor der Diagnose, weil eine stille Entzündung das Immunsystem früh schwächt.
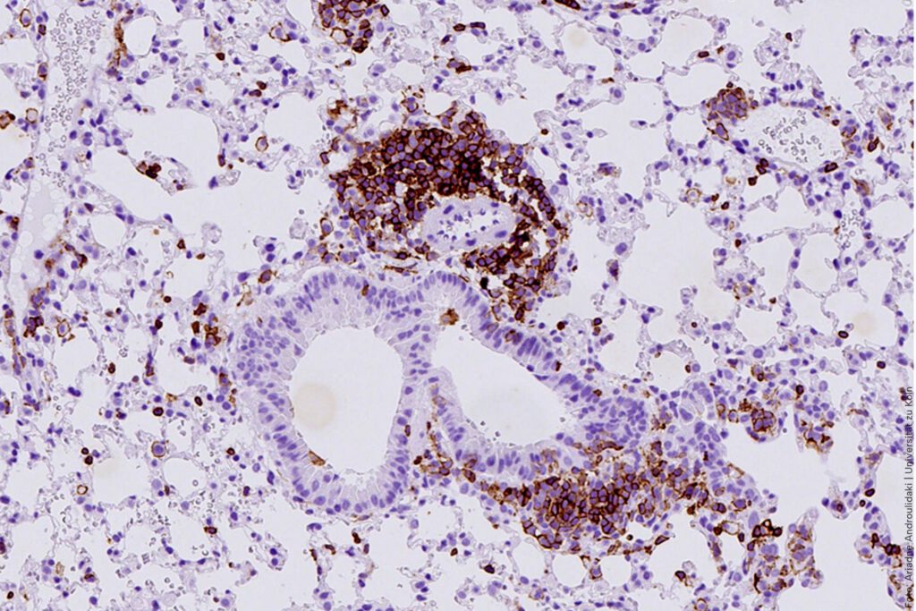
Im Lungengewebe dieses neuen Mausmodells zum kleinzelligen Lungenkrebs zeigt die CD45-Färbung eine frühe Entzündung, die bereits vor der Tumorbildung auftritt. Die braun markierten Bereiche kennzeichnen Immunzellen, die sich im Gewebe anreichern. © Ariadne Androulidaki
Lungenkrebs wird meist erst diagnostiziert, wenn Beschwerden auftreten. Dann bleibt oft wenig Zeit. Besonders beim kleinzelligen Lungenkrebs verläuft die Erkrankung extrem aggressiv. Therapien wirken anfangs häufig, doch Rückfälle treten fast immer auf. Eine neue Studie der Universität zu Köln zeigt nun, dass eine frühe Entzündung den Verlauf von Lungenkrebs bereits vor der Diagnose entscheidend beeinflussen kann.
Anders als bisher angenommen entsteht eine Entzündung beim Lungenkrebs nicht erst als Folge des Tumors, sondern setzt deutlich früher ein. Entzündliche Vorgänge im Lungengewebe beginnen bereits, bevor sich ein Tumor bildet. Diese frühe Phase legt den Grundstein für die spätere Aggressivität der Erkrankung.
Ein früher biologischer Kipppunkt
Untersucht wurde das kleinzellige Lungenkarzinom, eine Krebsform mit sehr schlechter Prognose. Nach fünf Jahren leben nur etwa fünf Prozent der Betroffenen. Trotz moderner Medizin kommt es in den meisten Fällen zu einem Rückfall.
Bei vielen dieser Tumoren fehlt das Protein Caspase-8. Normalerweise sorgt es dafür, dass beschädigte Zellen kontrolliert absterben. Fehlt dieser Mechanismus, sterben Zellen auf eine andere Weise. Dabei entstehen entzündliche Reaktionen im umliegenden Gewebe.
Studienleiterin Silvia von Karstedt erklärt: „Das Fehlen von Caspase-8 führt zu einer Art von entzündlichem Zelltod, der sogenannten Nekroptose, die ein feindliches, entzündetes Umfeld schafft, noch bevor sich ein Tumor vollständig bildet.“
Entzündung schwächt die Krebsabwehr frühzeitig
Eine Entzündung gilt meist als Schutzreaktion des Körpers, bei Infektionen ist das sinnvoll, beim kleinzelligen Lungenkrebs kehrt sich dieser Effekt jedoch um. Die frühe Entzündung verändert das Immunsystem so, dass Krebszellen später schlechter erkannt und bekämpft werden.
Eine wichtige Rolle spielen dabei regulatorische T-Zellen. Sie dämpfen normalerweise übermäßige Immunreaktionen. Im entzündeten Lungengewebe bremsen sie jedoch genau jene Abwehr, die Krebszellen angreifen müsste. So entsteht ein Umfeld, in dem sich Tumorzellen leichter ausbreiten.
„Wir waren ebenso fasziniert von der Erkenntnis, dass die prä-tumorale Nekroptose tatsächlich Krebs fördern kann, indem sie das Immunsystem konditioniert“, so von Karstedt.
Aggressive Zellzustände begünstigen Rückfälle
Die Entzündung beeinflusst nicht nur das Immunsystem, sondern auch die Krebszellen selbst. Sie versetzt die Zellen in einen sehr unreifen Zustand, der an frühe Nervenzell-Vorläufer erinnert. In diesem Stadium teilen sich die Zellen schneller, reagieren schlechter auf Medikamente und streuen leichter in andere Organe.
Solche Zellzustände fanden die Forscher besonders häufig in Metastasen und bei Rückfällen. Das erklärt, warum die Krankheit nach einer zunächst erfolgreichen Chemotherapie oft wiederkehrt. Die aggressivsten Zellen überdauern im Hintergrund.
Um diese Prozesse genauer zu untersuchen, entwickelten die Forscher ein spezielles Mausmodell. Auch hier fehlte das Protein Caspase-8. Die Folgen waren deutlich:
- Tumoren entstanden früher als bei Vergleichstieren
- In der Lunge bildeten sich mehr Tumorherde
- Lebermetastasen traten fast doppelt so häufig auf
Wurde die Entzündung gezielt gebremst, änderte sich der Krankheitsverlauf. Die Zahl der Metastasen sank, ebenso die aggressive Prägung der Krebszellen.
Neue Ansatzpunkte für frühe Strategien
Die Studie liefert keine neue Therapie. Sie erklärt jedoch, warum kleinzelliger Lungenkrebs so früh außer Kontrolle gerät. Entscheidend ist nicht nur der Tumor selbst, sondern das Umfeld, in dem er entsteht. Eine Entzündung wirkt hier wie ein Verstärker der Krankheit.
Für die Zukunft ergeben sich mehrere Ansatzpunkte. Entzündliche Prozesse könnten als frühe Warnzeichen dienen. Das Immunsystem rückt stärker in den Fokus der Forschung. Therapien könnten früher ansetzen, noch bevor ein Tumor sichtbar ist. Ob sich diese frühen Entzündungen beim Menschen zuverlässig messen lassen, ist offen. Lungenkrebs wird meist spät entdeckt, frühe Gewebeproben fehlen oft.
Kurz zusammengefasst:
- Beim kleinzelligen Lungenkrebs beginnt die Aggressivität oft schon vor der Diagnose, weil eine stille Entzündung im Lungengewebe das Immunsystem frühzeitig schwächt und Krebszellen schützt.
- Der Auslöser ist häufig das Fehlen des Proteins Caspase-8, wodurch Zellen entzündlich absterben und ein Umfeld entsteht, das Metastasen und spätere Rückfälle begünstigt.
- Die Studie zeigt: Nicht nur der Tumor selbst ist entscheidend, sondern sein frühes Umfeld, weshalb Entzündung ein mögliches Frühwarnsignal und Ansatzpunkt für künftige Therapien sein könnte.
Übrigens: Gerade im Winter kann sich in Wohnungen ein unsichtbares Risiko anreichern – das radioaktive Gas Radon erhöht nachweislich das Lungenkrebsrisiko, besonders bei geschlossenen Fenstern. Wie hoch die Belastung sein kann und warum einfache Messungen Klarheit schaffen, mehr dazu in unserem Artikel.
Bild: © Ariadne Androulidaki

3 Gedanken zu „Noch bevor ein Tumor entsteht: Stille Entzündung fördert eine der aggressivsten Krebsarten“