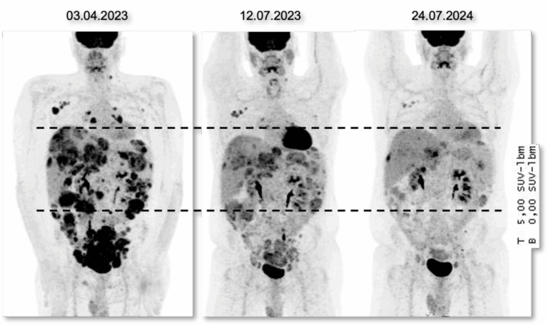
DSRCT